Remaining Trays in Treatment: 9
Lockjaw: Bout the same as always.
Pain: On the first couple days after the tray was put on.
Wear: 12-20 hours a day (less than I'm supposed to)
Brushing: Not as much as I should during the day at work
Flossing: Not every night like I should.
Lockjaw: Bout the same as always.
Pain: On the first couple days after the tray was put on.
Wear: 12-20 hours a day (less than I'm supposed to)
Brushing: Not as much as I should during the day at work
Flossing: Not every night like I should.
|  | 
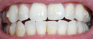
| Front View | 
|  | 
| Top View | 
|  | 
| Bottom View | 
 
No comments:
Post a Comment
Got a question or comment? Post it here.